At Grow Pediatric Dentistry, we believe modern technology should do more than treat dental issues—it should make visits safer, more comfortable, and more efficient for your child. That’s why we’ve invested in the latest pediatric dental tools and techniques, all chosen with your child’s comfort and health in mind. Our advanced technology allows us to detect concerns early, provide gentle treatments, and help children feel at ease during every visit.
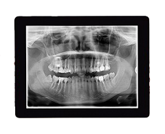
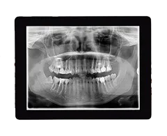
Digital X-Rays
Digital X-rays are one of the most important tools we use to protect and care for your child’s smile. They give us highly detailed images of teeth, gums, and jaw growth—helping us spot issues that may not be visible during a regular exam.
The benefits of our digital X-ray system include:
- Lower Radiation Exposure – Up to 90% less radiation than traditional film X-rays.
- Instant Results – Images appear on-screen within seconds, making it easier to explain findings and next steps to parents.
- Greater Comfort – Smaller, child-friendly sensors mean a quicker, more comfortable process for kids.
- Eco-Friendly – No chemicals or film processing, making it a safer choice for both patients and the environment.
Our gentle, kid-focused approach means we take the time to explain the process in age-appropriate terms, helping children feel relaxed and involved in their own care.
At Grow Pediatric Dentistry, we pair expert training with state-of-the-art technology so your child’s smile can stay healthy in the most comfortable way possible.

